


Gardening for most of us is more than just a distraction, but these days, in light of the coronavirus, SARS-CoV-2, the disease it causes, COVID-19, the conflicted messaging we’re getting from our ‘leaders’ and the insecurity many or most of us are feeling around our own financial situations, we are likely more in need of one than we had been. This post will be a bit of that, while at the same time an attempt to shed a little light on the issue of viruses in the plant world. Yes, viruses plague plants as well, but they are also thought, by more than a few scientists, to have played other roles as well, such as in evolution, a process that continues to and beyond this day! In some ways they parallel those of bacteria. Both viruses and bacteria can cause disease. The disease that a virus can cause is generally very limited to a narrow range of species, even to one, with notable exceptions. Most, however, perform other tasks as they go about their ‘business’, within the bodies of bacteria and larger multi-celled organisms. In fact most viruses, like bacteria, play no direct roll in our health…and they are everywhere.
It is important to understand that science has its own biases and that our perspective as mortal human beings affects how we view things as well…viruses included. Science builds on experience. It requires that new science, and its theories, be consistent with what is ‘known’, but it must also be open enough to avail itself to new understandings when it better explains previously accepted theories. What do I mean? Viruses ‘cause’ disease, but might they also be something else? If our biases set us up to see them agents of disease, reservoirs for future disease or inconsequential, we will fail to see what they may also be…and there are some who would assign a much more important role to viruses and see them not just as disease agents, but as far more, as essential ‘elements’ and players to life today and the processes that made today’s form of it even possible! First, though, what do we ‘know’ of viruses.
What is a Virus?
Bacteria, unlike viruses, are cellular organisms themselves. Bacteria contain DNA within a cell membrane, and, most essentially, can metabolize as independent organisms. They consume, grow and reproduce, at some stage doubling their DNA before dividing in two to create two ‘daughters’ from the single original. Bacteria are capable of synthesizing all of the proteins and enzymes they require to be actively living. Viruses are very different.
Viruses are far tinier ‘bits’, sometimes referred to as ‘viral particles’, because they are not cells. Individually they are called ‘virons’. Our knowledge of viruses was very limited before the invention of the electron microscope in 1931. The first virus ever identified was the virus that causes Tobacco Mosaic Disease. There was much interest in it as the disease was responsible for major crop losses. It wasn’t until 1935, with the electron microscope’s much greater magnification abilities, that it was positively identified. The earlier ‘light’ microscope with its optical lenses was unable to magnify viruses enough to even see them, let alone study them. Most viruses are on the order of 100 times smaller than a typical bacteria, which we can see through a light microscope. Viruses make up for their small size by their shear numbers. They far out number all forms of life on Earth. As tiny as they are scientists have estimated from sampling the oceans, that if you could collect every one in them, and lay them, end to end, they would form a ‘string’ 100 million light years long….Considering that the sunlight takes just over 8.5 minutes to travel to Earth, a distance of only 93 million miles, and you begin to understand just how common they are. [100 million light years, the distance light travels in one year, translates into 586,569,600,000,000,000,000 miles…and most virons, are 10 to 100 nanometers in size, a nanometer is one billionth of a meter. With 1,606+ meters per mile it would require around 10 to 100 million take just to stretch across a single meter, 1.606 x 109-10 virons! Now, multiply that by the miles in a 100 million light years to approximate the number of individual virons…expected to be found in the ocean only. Every living cell contains some.]
There are more different types of virus than there are species of every other life form on Earth, a total estimated to include several million, of which we have examined 5,000. They have no cellular membrane. They do not consume, metabolize or reproduce on their own. They are obligate, entirely dependent, parasites. Their existence is entirely dependent upon their relationship with a living host cell. Outside of a cell for very long and any virus begins to degrade. Their predominant strategy for survival has long thought to be in utilizing over whelming numbers, of which most individuals likely come to naught. Their sheer numbers dwarfs those utilized by complex multi-celled species. Not even those species that produce large amounts of pollen or spores during their reproduction cycles compares. Most individual virons can come to naught, with a relative ‘few’ being successful finding suitable host cells. Their shear numbers though assure their continuation. (Remember this, because I’ll come back to it as there are those that think there is an additional strategy at work here.)
Lytic and Lysogenic Cycles: How Viruses Reproduce in Host Cells
Viruses contain either DNA or RNA only, (and yes this matters in that it goes to determining the path it must take to replication), never both. Some viruses also contain very limited and specific enzymes they hold inside of their protective protein structure or shell, known as the capsid. In some viruses that parasitize animals, never in plants, their may also be a fatty, or lipid ‘envelope’ surrounding and protecting it as is the case with the SARS-CoV-2 virus. The shell surfaces have tiny structures which can attach only to very particular receptors limiting the cells it can infect. If a cell doesn’t have one of these, that virus will not be able to attach to it. When a virus does attach successfully it is able to inject its DNA or RNA into the living cell. Some animal cells generally ‘engulf’ the virus reshaping their own cell membrane around it. Plant hosts never do this.
-
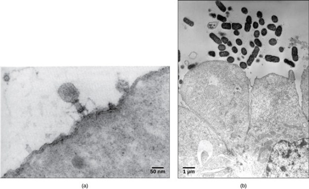
These electron microscopic pics show a tiny virus along a bacteria’s cell wall, while the one on right shows a cluster of bacteria near the membrane of a eukaryotic cell -
A model of the Tobacco Mosaic Virus molecule. The red is the enclosed RNA, its genetic material, the rest is the protective capsid constructed of individual protein molecules like bricks into an overall ‘rod’ shape. -
Comparison of relative sizes with a logarithmic scale.
The presence and ‘type’ of DNA or RNA determines the preliminary steps in the infection allowing it to ‘rewrite’ the host cell’s DNA. It can do this by following one of two cycles, in the Lytic, degrading or breaking the host DNA apart and replicating its own; or the Lysogenic cycle, ‘writing’ itself into the host cell’s intact chromosome with the host continuing ‘normally’, only with its altered DNA, dividing and producing ‘daughter cells’, each containing the altered DNA until a stressor causes the viral genetic material to be removed, or excise itself, then completing the Lytic cycle producing a new ‘generation’ of virons. The Lytic cycle ends in the death of the host cell.
In the Lytic cycle, which in many infections proceeds directly without the preceding above described Lysogenic cycle, the virus attacks the host’s chromosomes destroying/degrading them before producing the proteins the virus requires substituting its own genetic material. Once it successfully accomplishes this it it assembles itself, sometimes including bits of the host’s degraded genetic material that it can into new viral proteins, again with the ‘aid’ of the host cell’s hijacked processes and enzymes, creating many individual new virons, capable of beginning the process of infection anew. When ready these virons are released through the host’s cell wall, destroying the membrane in a process called lysis. The host cell is killed in the process.
A host cell must be permissive and ‘allow’ this, for the process of infection to continue and for the virus to be able to ‘hijack’ the cell’s metabolic processes for its own purpose, which is to replicate itself. If the host cell is not permissive then the process stops, the host’s DNA remains unaffected. In other cases the virus can remain latent or dormant in particular cells for years, something that the Chicken Pox virus does in people, remaining latent in our nerve ganglia, often expressed later as the painful Shingles disease. That’s roughly the processes.
Viral Disease in Multicellular Organisms
Infection follows very similar paths whether it is a virus specific to a bacteria, an animal or a plant species. The disease that the infection creates is more complicated within multicellular organisms, with their specialized cells and tissues, because not all of these will be receptive to infection, be permissive, or enabled, meaning they won’t allow their processes to be ‘hijacked’ by that virus. In multicellular organisms a virus is limited to particular cells. Again host cells must be both receptive and permissive to ‘permit’ the process. If a cell/organism is not both of these the virus will have no ‘effect’ and like any other inert, non-reactive material, effectively do nothing to the host. If a host is susceptible, once it is infected, time is required for the process to unfold within the infected cells, replicating sufficient viral proteins, assembling them into new independent ‘virons’ and finally release them, ‘shedding’ virus, at which time the host becomes infectious. While the process is direct and can be devastating to the individualized host cells, or not, the larger organism may appear asymptomatic until the infection has spread to enough cells in its body to disrupt its healthy function. The disease that manifests is the result of these collective cellular infections. The compromised cells and tissues, and even entire organs, will then express a characteristic pattern of symptoms, compromising the organism’s overall state of health. The infected organism ‘responds’ as it can in an attempt to maintain homeostasis or balance in its internal state and functions, adjusting to its compromised capacity, while implementing its various immune responses to rid itself, or at least defend itself, from the virus and its infection. While this goes on the virus continues to press in its own drive to be successful, ‘shedding’ its newly created virons in its attempt to infect more cells as it continues to hijack more of the host’s processes and enzymes.
Some viral diseases can begin this ‘shedding’ process in the host before the onset of visible symptoms while others may occur simultaneously. Once all of the susceptible host cells in the organism are infected the process is ‘finished’ and the host either survives the infection or not. It is important to understand that the mere presence of a virus does not equate to inevitable infection.
Bacteria, fungi, animals and plants are all susceptible to viral infections. Because these classes of organisms share similar cellular structures and metabolic processes, it shouldn’t be surprising that viral infections follow particular general patterns. The symptoms that we see are not the disease or infection itself, but the individual infected organism’s response to it…a particular symptom does not mean that a particular virus is involved…and no other. The symptom is only the individual’s response. This is another one of the reasons it can be so difficult to identify the particular virus responsible. The infected individual can only respond with its own limited range of symptoms. This is why so many human diseases may ‘present’ themselves similarly and why so many plant diseases are often known by their common descriptive name as particular forms of ‘mosaic’ diseases. Plant pathologists use the descriptor ‘mosaic’ because of the visual pattern created in the surface of infected leaves. The viruses themselves are different and unique. Again, remember that symptoms are an organism’s expression or response to the infection and are limited by the capacity of the organism itself. (This site has about the simplest and best description of the processes of infection that I could find. https://courses.lumenlearning.com/microbiology/chapter/the-viral-life-cycle/)
Scientists have several different tests they can do to determine whether a particular virus is involved in an infection and how much may be involved, what the viral ‘titer’ is. One of these tests is the one abbreviated PCR, roughly this is a test used to assess the total viral load. It does not tell the whole story though because every tiny viron, every viral particle, remember they aren’t cells, is not necessarily infectious, meaning they aren’t capable of infecting a host cell. So, a high PCR result can be misleading, because some or much of the viral load indicated may not be infectious. Time is a big factor in this. The longer any virus remains outside of a host cell the more likely that it will degrade in ways that render it non-infectious. Making matters more difficult and stressful is the fact that viron infectiousness varies from virus to virus. Tests like the PCR, when it registers a virus availability, should serve as warnings to us and host populations, not a definitive measure of the threat. Time will decrease the chances for infection.
Vectors and Transmission of Viral Infection
Many viruses move from host to host via a vector. These can be another living organism itself, such as a female Anopheles mosquito in the case of Malaria, rats for bubonic plague or be ‘mechanical’ such as an infected tool like a hypodermic needle or a gardener’s secateurs. Others are capable of being airborne, generally infecting the respiratory system while others can be ‘carried’ via water infecting the digestive system. Both plant and animals have multiple defenses against viral infections. Our skin and a plant’s epidermis has evolved as such an initial barrier. The mere presence of a virus on either surface will not result in infection. Some plants utilize a waxy cuticle or structures like trichomes as an additional barrier making it even more likely that the virus will be sloughed off. Most plant viruses need help getting passed this barrier.
Entry can be gained through wounds from storms or other mechanical damage…like pruning cuts. In fact pruning is a common method of entry for plants in the maintained landscape, as the worker moving amongst plants, transferring the virus from infected to non-infected plants on one’s tools. This is why it can be important to disinfect your pruning tools as you move between plants.
Many plant diseases are carried by piercing/sucking insects, insects whose saliva contains the virus are otherwise themselves unaffected by the virus. Nematodes and other organisms can serve as vectors as well. A disease requires its ‘agent’, a susceptible host and a successful strategy to get to it. Knowing this when we garden, the idea of ‘distancing’ is translatable, providing a barrier or utilizing distance to reduce access to a host. Sanitation is essential. With viral diseases we must remember that we have no effective treatments to use. The best strategy will always be prevention! While our plants don’t move around, we do, and we also move plants, the disease agents, soil and their vectors around with us. We ourselves can serve as critical vectors of diseases in our own landscapes. Once a virus has gained entry to a multi-celled organism it uses the host’s vascular system to move throughout the plant enabling it to find appropriate host cells and tissues. There is another factor that always comes into play and that is the overall health of the host organism. A healthy organism will have greater reserves available to it to survive the infection, healthier levels of resistance response making it better able to defend itself from the effects of infection.
Viruses of, and Their Effects on, Plants
The majority of investigated plant viruses do not contain DNA, instead they most commonly have what is termed +ssRNA, short for positive single stranded RNA, which acts like mRNA, or messenger RNA. Messenger RNA are the coded genetic strands that organisms create from their DNA, that work as a kind of template for the creation of specific proteins produced in an organism’s ribosomes. Plant viruses with +ssRNA, then have the capacity to be delivered straight to the host organism’s ribosomes, there are many, hundreds or a thousand or more ribosomes, within an individual cell, without having to undergo the transformations that viruses containing -ssRNA, + or – dsRNA (ds stands for double strand) or the relative few that carry ssDNA, their are no dsDNA plant viruses, and quickly start producing the needed viral proteins. Specific enzymes, either carried by the virus or hijacked from the host, enable the necessary transformations of the viral genetic material into the form of +ssRNA. Other enzymes are utilized to rewrite the host’s DNA held in their nucleus, in a sense, working backwards from the viral RNA.
It is important to note that unlike many animal viruses, plant viruses are ‘biotrophic’, they infect the host, causing it to produce viral proteins, but generally do not kill the individual although individual host cells may die. The host cells continue on compromised producing viral proteins. Individual plants can show signs and symptoms for years after infection and while their health is compromised, they continue, perhaps stunted, and showing other malformations in addition to having compromised and shortened lifespans.
What happens once a multi-celled plant is infected? In general the infected host cells then infect those adjacent to them forming discrete areas of infection amongst otherwise healthy tissues. In some tissues the released or ‘lysed’ virons are able to move within the extra-cellular fluids, creating a systemic, or organism-wide, infection, as it is carried along through the vascular system. This gives the infection access to the entire plant spreading it in the same fluids that serve the cells, providing the needed water, sugars and other metabolites produced in the leaves. Virons lysed from infected cells move into adjacent healthy cells unless they have direct access to this. Most plant viruses can move on to full blown systemic infections once they get into a plant’s vascular system. In plants this process is slower than in animals, reflecting both their slower metabolism and the flow of their vascular system. Symptoms can show in distinctive visible patterns as the infection spreads to adjacent cells. These patterns form a larger pattern as the infection progresses through the vascular tissues moving out from it.
Resistance!
Two of an organism’s most important defenses against viral infection are then the specificity of a virus to its host and the protective skin or epidermis that covers the organism. Viruses cannot infect non-host plants. The world is literally awash in viruses, yet life goes on. On the flip side of this is that when a virus mutates (a ‘quantum leap’ of sorts), if it gains the ability to infect a different host species or tissue, its newly acquired host target may have few or no internal defenses to it and infect entire populations very rapidly. What this means for the host species is dependent on the virus’ virulency, will its impact be relatively innocuous or will it be devastating…another roll of the genetic dice.
If a host is susceptible and the virus has gotten passed the protective epidermis of plants, they have variable and particular internal defenses. Plants are unique from animals in their defense mechanisms and responses. Animals have specialized cells tasked with fighting infection. Plant don’t. Theirs might be characterized as, ‘it takes each resident to protect the village’.
Plants rely on the capacity of every cell to perceive and defend against the “challengers.” During the millions of years of co-evolution with pathogens, plants have evolved multilayered surveillance mechanisms against pathogens that invade them. Innate immunity, RNA silencing, translational repression, and ubiquitination-mediated and autophagy-mediated protein degradation, are the major defense mechanisms against viruses in plants. Exploration of the dominant resistance genes in the last decade also resulted in the identification of some antiviral proteins that restrict virus proliferation by directly interacting with and inhibiting viral protein functions. [from: “The Tug-of-War between Plants and Viruses: Great Progress and Many Remaining Questions”
Innate Anti-viral Immunity
All plants have an innate immunity to some degree. It is genetically encoded in them and expressed in their normal day to day lives. When a pathogen such as a virus comes in contact with a plant’s epidermis they do not simply ‘touch’. Nothing is that ‘simple’. The entire contacted cell is an integral unit, connected and responsive. To successfully enter a cell the potential host cell must be ‘receptive’ to it. This is a complex biochemical process. When a potential host cell is not receptive contact with a virus triggers an anti-viral response on its surface as well as one within the cell membrane of the targeted cell. Some plants will ‘sacrifice’ cells, generally epidermal, to block the virus into the organism. This is a drastic response utilizing the pre-emptive death of a cell which blocks the progression of the infection, creating a now impenetrable barrier to the virus. Viruses do not infect dead cells. In other cases proteins and hormones may be produced internally triggered by the viruses arrival on the surface that can block otherwise available pathways for infection. Viruses do not simply touch. They are sensed by the cell and their presence signaled to the interior for a response. In many cases this signaling not only prepares the cell to ward of attack, but also enables the plant itself to pass on this capacity to its offspring, epigenetically, even though it’s not encoded in their genetic material, but passed on any way. These innate responses can be very complex. Again, animals don’t do this.
RNA Silencing
Plants also have the ability to do what is called RNA silencing. The host cell or organism, once breeched or infected by the virus, recognizes the viral genetic material and ‘records’ it passing this information on to other uninfected cells preparing them in advance to ‘block’ the viral material from replicating viral proteins. The foreign genetic material can then be ‘sliced’ out of the host, assuring that the RNA called for to support the normal host production of proteins, continues. This ‘process’ has evolved with plants to conserve their genetic material. A plant’s genome is very complex and intolerant of even tiny changes. This protects it from a variety of degenerative processes, including viruses that would degrade it and threaten the continuation of the host species.
DNA is the base pattern for the cell and organism, alter it and you change an organism’s ability to replicate itself, you may even compromise the organism’s ability to survive. Any organism must be able to produce the countless proteins that comprise its structure and the essential enzymes necessary for virtually every biochemical reaction within the cell and organism to grow and maintain itself. (Scientists have learned to manipulate this same process to create genetic changes they want to put in cells.) This would all be great only the viruses also have developed counter measures, a defense against this, sometimes being capable of responding with suppressive proteins that block the ‘signaling’ necessary to carry out the RNA silencing successfully. Two opposing processes. The viral counter defenses are often successful so the infection continues within the cell. All organisms have this ability to greater or lesser degrees, not just plants.
Translational Repression
The genetic information on the host cell’s DNA, including that placed there by the viral RNA, has to be ‘translated’ into messenger RNA and carried to the many ribosomes which work as centers of protein production. Hormones are protein structures that act as internal messengers, turning different processes on or off. Enzymes are proteins that ‘catalyze’ the many actual biochemical reactions themselves. There can be many thousands of each within a cell, fluctuating with ‘need’. Together they regulate the many activities required by the cell. If the needed hormone is not available no viral proteins can be produced. Viruses are often able to ‘hijack’ the necessary hormones to meet their own needs. Loss of control of the synthesis of its own proteins is a result of the virus’ various blocking and hijacking strategies.
This line of defense comes into play after a virus has successfully penetrated a cell. Messenger RNA which copies portions of the host’s DNA normally is transported to the cell’s ribosomes to produce the encoded proteins, unless the infection successfully overrides this process. Many plants can intercept this with their own counter-strategy by producing Ribosome-Inactivating- Proteins (RIPs) that effectively shut down a ribosome’s capacity to produce a particular viral protein. It is a process of check, counter-check.
Another biochemical pathway has been found in which particular ‘products’ are made in the Ribosome and translocated back to the nucleus where they effectively shut down the expression of ribosomal protein genes, blocking the production of mRNA (messenger) so no viral proteins can be synthesized.
Other suppression strategies occur within the cell nucleus suppressing the production of small bits of RNA which scientists are finding may be essential to blocking the production of viral proteins.
Atypical Dominant Viral Resistances
[Say whaaat??? ATYPICAL DOMINANT VIRAL RESISTANCE PROTEINs (ADVRPs)…scientists do love their long, descriptive and somewhat clunky names for groups or families of compounds and proteins. They have assigned to them an endless stream of names they bandy about as abbreviations requiring a lot of memorization to keep track of as you read through the literature where these shorthands stand in.]
Over the last ten or so years researchers have discovered that plants may also have something called atypical dominant resistance genes, atypical because they are structurally different than other genes and independently interact with viral proteins inhibiting their action, possibly ‘fending’ them off before they can be incorporated into a susceptible host’s cell and DNA. These genes produce a variety of proteins that can bind with plant sugars which move through the plant’s phloem working to inhibit viral proteins which can also be transported around a plant via the flow of fluids within its vascular tissues. Where do they come from? That’s an open question, but some suggest that they are themselves products of previous viral infections, adding these defenses to the host cell in order to defend the viruses adopted ‘home’ and host from other competing attacks! These genes are many and varied utilizing many strategies to inhibit, bind or neutralize particular viral proteins. Remember that when a host cell has been infected successfully, in a lysogenic cycle, the genes are written into the host chromosomes and duplicated for use by the host until it eventually, if ever, ‘lyses’, releasing the newly assembled infectious viroids to move inside the organism, or the organism ‘sheds’ virus to infect new host individuals.
Ubiquitination and Autophagy-Mediated Protein Degradation
Okay, now we’re getting into the cool stuff! Ubiquitination (U-‘bik-whi-ti-nashun) and autophagy. Both of these come into play after the mRNA is transcribed, transported to the ribosomes and having followed the RNA’s template to create specific proteins. All complex cells, all eukaryotes, plant, animal, fungal, are built up from very specific long chain proteins. These two processes work to keep the host cell in balance, within a healthy range, with its many proteins and enzymes in proper balance, in homeostasis. This is a dynamic and ongoing process even in an uninfected healthy individual. All of these contain a variable and changing amount of ubiquitin, a small (76 amino acid) protein, that has a regulatory function. It exists in all tissues. Cells can add or remove ubiquitin as needed to and from proteins. The enzyme ubiquitin reactions are universal and varying between several possible reactions depending on how much ubiquitin and where on the protein molecule it is. One of these processes is ubiquitination-mediated protein degradation, which is pivotal for cellular protein homeostasis, and it is involved in nearly all cellular processes, keeping new, added, proteins in balance with those being degraded and ‘recycled’. Under ‘normal’, uninfected circumstances, which isn’t really normal, individual proteins mature, suffer injury and require replacement; therefore, it is not surprising that this process is involved in almost all plant antiviral defense mechanisms, as the infective virus is built up of various proteins. It also plays an important role in growth, hormonal signaling, abiotic stress response, embryogenesis, and senescence or cell death. The ‘recycling’ of proteins is a multistep enzymatic reaction in which specific ubiquitin proteins are attached to the target proteins. This is a fluid and reversible process adding to a cell’s capacity for internal regulation or control. The dynamics of a healthy cell is complex, nuanced with multiple factors working together toward a healthy balance of growth. Some viruses can work to disrupt this. A plant’s many internal immune responses naturally work to keep it in balance and the infective virus at bay, all the while the virus itself is working to be successful in its drive to reproduce. I’ve begun thinking about this using the idea of a spinning gyroscope, on its particular axis, at some ideal velocity, in symphony with a system of other gyros, all responsive and spinning within a range of rpms in a kind of push-pull balance. None of these are simple linear processes.
Autophagy is the internal ‘recycling’ process that transports excess, ‘old’ and damaged proteins, improperly ‘folded’ protein assemblages and sometimes foreign, viral, proteins, to vacuoles in plants and lysosomes animals, where they are subject to specific enzymes which can ‘slice’ them up into their more fundamental parts and made available for reuse. The cell senses these proteins then, through biochemical signaling, release and direct the specific enzymes to do the ‘work’ of disassembly. An animal cell’s lysosomes, an organelle of which a cell can have many, or a plant’s vacuoles, play a central role in the process.
These two closely linked processes support each other in their efforts to combat viral infections and, in the process, are important in maintaining an organism’s stem cells, in plants, the meristematic tissue responsible for new tissue growth. There is very little space for error in this process. Plants are able to utilize these abilities to defend themselves from uncontrolled protein degradation, while also utilizing it to break down viral proteins so that the plant can continue producing healthy proteins and thereby tissues.
There is an intricate ‘back and forth’ between host plant and its viral infectors that is necessary for the survival of both. While the host attempts to fight off the viral invader, the virus attempts to succeed through replication. Making both of these possible they engage in an intimate dance of immune responses and resistance to the virus’ infection and adaptation. The virus changes to gain control over the host’s internal ‘signaling’, effectively turning off the host’s response, or attacking more directly the proteins and enzymes meant to control it, or even altering itself, or the host, to come in ‘under the host’s radar’. Over the course of this, the relatively quick generational turnaround of the virus and the slower response of the host, the genetic material of each undergoes tiny adjustments and what was once a virulent or toxic relationship becomes more benign in many cases, with both ‘succeeding’, host and virus. The virus thus serves as an agent of change in the host. There are of course cases in which the host cells or organisms die, but as I’ve stated elsewhere these are more failures than goals of the infection. These are very complex relationships and are far from completely understood, but science is beginning to understand their complexity and surety.
Purpose: Their Role in Health and Population Dynamics
We humans tend to view viral infections as negative because our awareness and study has understandably focused on the relative few which cause us disease. The majority of viruses go about their business infecting host cells without creating fatal diseases in their hosts, they simply possess a great capacity to persist. Vruses have more purpose than that. They help break down, recycle and repurpose bacteria and other organic compounds within the broader system of the larger environment. Many aid multi-cellular organisms in ways similar to that of many bacteria, aiding with digestion even breaking down toxins and protecting from other viral infections. The world could not be what it is without them. Even in the process of infecting other organisms, of compromising their health, they perform a greater function. It may seem heartless or inhumane, but viruses and the diseases they can cause, serve the environment as ‘checks’ on unconstrained growth and increase, helping maintain balance or homeostasis of the larger living community…a biological necessity. Without such ‘checks’ without such limits on a species or population the balance can quickly change, putting others under rapidly increasing stress in a resource limited world.
Every individual of every species ages, has an ‘effective’ lifespan and purpose…we mature, contribute to the well being of the whole, reproduce and then decline. Decline and death are normal and natural, generally manifesting over time as an individual’s systems begin to slow and falter, becoming slower to respond and, when it does, to do so less effectively. Each individual can be thought of as an incredibly complex biological system whose genetics have set it on a ‘path’ and grows or is maintained by supportive overlapping and extremely complex subsystems, linked together in a network of intricately connected feedback loops, positive and negative, each responding to all of the others, in order to maintain homeostasis, keeping an individual’s dance of life going. Part of this capacity is the role of these sub-systems to our immunity and resistance to viral infection. I have written before of life as a kind of energized balancing act, each individual perched on knife edge between life and death, requiring a continuous flow of energy within itself to continue…this is more literal than metaphorical. Because of individual genetics, our strengths and weaknesses, the overall complexity of our bodies, this homeostasis is dynamic, fragile and personal. Our physical ‘gifts’ are not shared equally, neither our strengths nor our weaknesses, but the ultimate outcome of our lives…we share equally with one another, across all species.
When any organism is infected, we have been educated to see it as a ‘battle’, a battle between the host’s health and homeostasis and that of the viruses existence. Each individual comes into this life with inherent capacities and weakness in all things…but there is no issue of good and evil in this. It is not really a ‘battle’ at all. It is the nature of life. One individual’s resistance and immune response will be greater than another’s and, as individuals mature, our internal systems will degrade making it more likely that the infection can increase and our own systems be pushed beyond the point of continuing. Life is its own reward. Ultimately there are no awards to an individual that can make a significant difference. It may sound trite, but life is a journey and we are all along for the ride, where ever it takes us.
In general, plants, as stated above, are less critically affected by most viral infections than are we animals, theirs have a tendency to be less virulent. Why this may be I don’t know, but I can speculate that it has something to do with the fact that, in biological terms, we are highly mobile heterotrophs and, that relatively speaking plants have been around living in a world with viruses, far longer than we have, many millions of years in fact and time is a very important factor in evolution. Human beings have been around, arguably, between 6 and 2 million years, far less than the first development of our modern flowering plants, Angiosperms, that date back 100 and more million years ago. In addition we can move, hunt, harvest, mine and collect, take from the environment to meet our own needs, in fact we must, while plants cannot. They are fixed in place, with a few minor exceptions and, for the most part they are autotrophs, they produce what they need, beginning with their capacity to photosynthesize. Being immobile and fixed to place they are naturally limited by their immediate conditions and can neither move nor pursue in order to acquire what they need. They are in a sense, simpler and their lives, in terms of their metabolism, move at a slower pace. Viral infections, disease in general, then fill a necessary role in the larger system of the environment and this should make sense to us as life itself is only possible when it exists within a narrow range, of homeostasis, balanced, in a direct and very real sense in countless relationships. Physical maturity, and the inevitable ensuing decline and death are essential to life.
It may seem ‘cruel to say, but disease serves a positive role as a check on unbridled growth. Such growth in an individual is termed cancer. Maturity and death may be pushed back, but only so far before the larger systems must respond with a larger ‘correction’. When disease becomes ‘weaponized’ to gain advantage, that is more of a moral failure in society than it is something evil within the virus itself. It is a fact of life that the further out of balance a population, of any species, may become, the more frequent and virulent will be the system wide effects that begin to check it…to rein it in. This is a feature of life at both the scale of the individual and system wide within the larger environment. Any living system, when pushed out of balance will tend back to balance. When a population begins to stress its environment, when its numbers increase too high, or it simply begins to consume too much, the health of the individuals will be compromised and the many checks, like disease or predation, increase to bring it back into balance. Again, plants tend to follow the limits to their growth more closely while heterotrophs can exceed them supported by their capacity to move and, in our case, as humans, to utilize specific technologies which increase our effectiveness in terms of consuming, allowing us to take more from a system than it can ‘afford’ even as it becomes more scarce. As an apex predator/consumer our increasing numbers are not checked by an increase in the numbers of ‘higher’ predator species, we have effectively eliminated them as a control over our lives. There are only ourselves and disease that can check our growth before ultimate collapse of the environment. As, perhaps, oxymoronic as it may sound, even as agents of disease, viruses serve a positive role and they have been found and believed to have served others of importance.
An Alternative View: Viral Persistence, Adaptation and Evolution
Virologist Luis P Villarreal argues that the persistence of viruses over time is their most successful life strategy and notable characteristic. If their purpose were to infect and cause disease and death, they would likely have disappeared long ago. Such a ‘success’ would be a literal dead end. He proposes instead that infections that cause disease are attempts by the virus to find new hosts and thus secure their continuing success. The vast majority of infections are not particularly virulent and do not lead to the decline of the host cell or organism. This is consistent with the occurrence of the often very virulent ‘novel’ viruses. Such viruses that kill their host too quickly, cycle in and out, mushrooming quickly before themselves disappearing. Contrary to this pattern the most successful viruses persist in relative large stable numbers without killing or unduly damaging their hosts. It is in the viruses long term best interest to then continue in a mutually beneficial or at least benign relationship. Some viruses exist long term in a host population causing relatively few if any symptoms, manifesting more virulently and fatally only in already unhealthy, marginal, individuals. It can be argued that the viruses are in a sense grooming their hosts for their own improved success. A high death rate of infected hosts is a ‘failure’.
The mechanisms and patterns viruses follow which produce diseases in some species, are the same that allow them to work within other hosts to modify them, ‘improving’ their own chances at success. Sharing genetic bits back and forth, hijacking a host’s enzymes and causing heritable epigenetic characteristics. Over time and generations, utilizing its capacity to reform it’s own and the host’s genetic material, both the virus and host adapt and through the process of selection, improve their compatibility. Organisms live in a state of infection, the vast majority of which are beneficial or benign. The larger goal then seems to be the success of the virus which brings with it the host’s success. In this way viruses move evolution along.
Villarreal writes:
“I suggest that such a relationship deserves much more attention
and respect than it has previously received. Per-
sistence is neither a trivial nor easily attained rela-
tionship. A persisting virus is not simply a
reservoir for acute disease; it is a central and suc-
cessful life strategy. It requires a highly intimate
coordination between the virus and the innate
and adaptive immune systems of the host. It
demands precise gene function, and hence, evolu-
tion of the persisting virus, and operates in most
host population structures, often in coordination
with host reproduction. This highly adapted state
tends to be genetically stable, sometimes generat-
ing almost clonal virus populations that retain
genetic stability on an evolutionary time scale….I think we will
see that persistence is not simply an accident, but
a vital force that overlays clear and bright clades
of virus that color the entire tree of life.”
Many have noted a virus’ ability to merge with a host cell’s genetic material and then excise itself suggesting not just a fluid relationship, but a long standing one. Others have noted how this may have added to the ability of each to adapt, adjusting their genetic material to one another and their conditions in ways that ultimately lead to their improved survivability. In 1959 Salvador Luria, a noted Italian microbiologist of his time, wrote:
“…may we not feel that in the
virus, in their merging with the cellular genome
and re-emerging from them, we observe the units
and process which, in the course of evolution,
have created the successful genetic patterns that
underlie all living cells?”
He was among the first to suggest that viruses may have played a pivotal and central role in the development of DNA, the way in which it replicates and has evolved.
In many cases it is believed that the relationship between host and virus has evolved jointly and that these persistent viruses have developed commensal, mutually beneficial relationships with their hosts, in some cases aiding the host, sharing its genetic defenses to help ward off other related, potentially damaging viruses. Villarreal goes on to suggest that,
“essentially all major transitions in the
evolution of life are associated with specific and
often peculiar patterns of colonization by persist-
ing genomic and extragenomic parasites
(viruses).”
At least some of today’s viral diseases that compromise and/or kill individual infected hosts today, this argument goes, will not at some future date. The viruses will persist in the available host population and continue on. Host and virus will work together, if allowed over the course of several or many generations, to adapt genetically, perhaps with particular physical changes in response developing into a more mutually beneficial relationship. Host losses will continue to happen as the process unfolds though they will lessen. Nature, and its processes, are always ‘looking ahead’ at the long game.
Problems will inevitably arise as we live in this moment in time. Our lives are relatively short in terms of observing our own evolution We see a snapshot version of our lives while nature moves regularly ahead. We have a tendency, in terms of diseases, to seek to conquer them, to eliminate or control the agents of disease or ‘cure’ its effects if we can’t. A virus is an unrelenting ‘foe’. A more realistic or long view, might be one that viewed viruses more as agents of change and evolution. We would focus more on the health of the species, be that our own or those animals and plants upon which we place economic value and the living community at large which is over burdened, out of balance and increasingly, in a chronic state of declining health. We should always remember that health is the more viable and defendable pathway, not ‘fighting’ or curing a disease after the fact. Our present path carries us along a line that imperils living individuals placing more individuals and species in position for a ‘correction’.
The Process of Virus Driven Evolution
In the process of natural viral infection, during the Lytic cycle, bits of the degraded host genetic material may be included in the assembly of new viroids added into their newly assembled RNA or DNA along with the intended viral proteins. This can be part of the process of ‘general transduction’. When these ‘transduced’ viroids are Lysed they can infect new bacterial hosts transferring these genetic bits successfully, imparting traits that the new host individual did not have and later to the daughter cells that follow.
There is also the process of ‘specialized transduction’ which occurs after the lysogenic cycle which occurs in multi-cellular, higher species. Remember that the viral genetic material in this case is ‘written’ into the host’s, the host’s is not merely degraded leading to the host cell’s death, where it is replicated as generations of daughter cells are produced. In this process, when it is later excised in response, new viroids are created, carrying intact pieces of genetic material, that were more precisely cut out of the host’s DNA, not so randomized. These are thought to be better able to fit into that the subsequently newly infected host cell changing them in more precise ways…sometimes the host can gain advantages from this that continue in this new genetic line. This is thought to be an important pathway within the evolution of bacteria and so plays a less direct role in more complex life forms.
Has it had a more direct effect on multi-celled organisms as well? From our study of evolution, we know that bacteria preceded more complex life forms, that these early changes to bacteria likely help paved the way to more complex organisms, without which this ‘advancement’ would have be forestalled. This was once called ‘infective gene transfer’ now more commonly included in the several possible processes of horizontal gene transfer, a non-sexual method of sharing genetic material between living individuals.
Whatever your view, viral infection and disease is a fact of life. Vaccines and anti-viral drugs may not always be available or effective and in the vast majority of cases are not even remotely necessary, because…most viruses do not cause disease. Viruses have the unique capacity to integrate with their hosts. They become part of a transformed organism so their purging or removal becomes much more complicated. Most appear to persist in benign or mutually beneficial relationships with their host. Villarreal argues that we should be studying persistence in viruses to better understand their relationship with their hosts. He and others suggest that viral infection plays an important role in evolution and health, sharing genetic material, helping select successful compatible individuals, improving disease resistance to other infections, adding to a host’s genetic capacity for the future. Furthermore, he says, by failing to recognize their largely benign ubiquity and persistence in host organisms, we are failing to understand what they truly are and how and when we should even attempt to intervene, to combat them, or if there is some other strategy that we might pursue to resolve their conflict and virulency without destroying the ‘gifts’ that their presence may offer. Like so many other things viruses are not wholly ‘bad’ or evil and our efforts them to eliminate or banish them from our world could end up causing much more harm than good!
It might also be good to keep in mind our approach to bacterial diseases and what we have been ‘cooking’ up by the heavy use of antibiotics to control and prevent bacterial diseases. Such use has been speeding the development of resistance in problematic bacteria as they share genetic material and adapt causing their infections in us to become much more serious. A day when we are without effective antibiotics to treat truly horrific diseases may not be too far away. The other effect, shorter term in treated individuals, is the mass killing of beneficial bacteria, bacteria that aid in or digestion and uptake of nutrients, that can lead to a general overall decline in an individual’s health. I would strongly suspect that the pursuit and implementation of similar anti-virals in us could be equally or perhaps even more devastating because of the links and interactions between viruses and our own genetic material, our DNA and RNA. To pursue such a course would seem to be like the old warning about cutting off one’s own nose to spite one’s self, an expression to describe a needlessly self-destructive over-reaction to a problem….
Looking for a quick introduction? This is an excellent site for all biological sciences, this page on viruses:
Have high schoolers stuck at home, home schooling or are you interested in viruses and the course of disease they create in bacteria, animals and plants and how different their cycles and expression are? The entire lumen learning website is a great site for studying biology on-line.
I have relied heavily upon this article for the interaction of plants and viruses. “Defenses agains viral infection and counter defenses”;
The Columbia University Virology course is an excellent and largely accessible university level introduction to the study of viruses, that is current with the spring of 2020 and the sars-cov-2 the virus that causes covid-19, the disease.
The following article was helpful in understanding what many believe to be viruses role in the evolution of life to be. “How Viruses Shape the Tree of Life”, Luis P. Villarreal, University of California, Irvine, Center for Virus Research.
